Bạn đang hoang mang vì da bỗng nhiên xuất hiện các đốm trắng lạ? Đừng vội lo lắng! Đa số các trường hợp là Lang ben hoặc Vảy phấn trắng lành tính. Tuy nhiên, nếu đốm trắng trơn láng và không ngứa, đó có thể là dấu hiệu sớm của Bạch biến.
Hãy tra cứu nhanh tình trạng da của bạn qua bảng phân biệt 5 bệnh thường gặp dưới đây trước khi đi khám
Nội dung bài viết
ToggleBảng so sánh nhanh 5 nguyên nhân “Nổi đốm trắng trên da”
| Loại bệnh | Nhận diện nhanh (Triệu chứng) | Mức độ nguy hiểm |
| Bạch biến (Vitiligo) | • Đốm trắng sữa, ranh giới rất rõ. • Trơn láng, không vảy, không ngứa. • Thường ở tay, chân, quanh mắt/môi. | Bệnh tự miễn, lan rộng nhanh, khó chữa |
| Lang ben (Nấm da) | • Đốm trắng/hồng loang lổ. • Có vảy cám (cạo nhẹ thấy bong). • Thường gây ngứa khi nóng. | Bệnh ngoài da, lây lan nhưng dễ trị) |
| Vảy phấn trắng | • Mảng da nhạt màu, hình tròn. • Bề mặt hơi thô ráp/sần sùi. • Thường gặp ở mặt trẻ em. | Lành tính, thường tự hết khi lớn |
| Giảm sắc tố sau viêm | • Vết trắng tại sẹo cũ hoặc vết thương. • Hình dáng theo vết thương gốc. • Bề mặt trơn hoặc hơi lồi/lõm. | Chủ yếu mất thẩm mỹ, tự hồi phục lâu |
| Đốm trắng lão hoá | • Chấm trắng nhỏ như hạt gạo (2-5mm). • Bề mặt phẳng hoặc lõm nhẹ. • Ở tay/chân người trên 40 tuổi. | Do lão hóa & nắng, không cần điều trị |
*Lưu ý: Bảng này không bao gồm Bệnh Bạch tạng vì đây là bệnh bẩm sinh toàn thân, không gây ra các đốm trắng cục bộ mới xuất hiện.
Nổi đốm trắng trên da là gì
Hiểu một cách đơn giản, nổi đốm trắng trên da là hiện tượng vùng da bị mất sắc tố.
Bình thường, màu da của chúng ta được quyết định bởi Melanin – một loại sắc tố tự nhiên được sản xuất bởi các tế bào hắc tố. Khi các “nhà máy” tế bào này bị tổn thương, hoạt động kém hoặc chết đi, lượng Melanin không được sản xuất đủ. Kết quả là vùng da đó bị nhạt màu hơn so với xung quanh hoặc chuyển sang màu trắng bệch, tạo thành các đốm hoặc mảng loang lổ.
Tình trạng này có thể gặp ở mọi lứa tuổi, từ trẻ sơ sinh đến người cao tuổi. Mặc dù đa số các trường hợp đốm trắng (như lang ben, vảy phấn) không nguy hiểm đến sức khỏe, nhưng chúng gây ảnh hưởng lớn đến thẩm mỹ, khiến người mắc trở nên tự ti, ngại giao tiếp.
Nguyên nhân khiến da nổi đốm trắng
1. Bạch biến:
Bạch biến (Vitiligo) là rối loạn miễn dịch mạn tính khiến tế bào hắc tố (melanocyte) bị phá huỷ, làm da mất sắc tố vĩnh viễn.
Các mảng trắng thường xuất hiện ở mặt, cổ, tay, quanh miệng, mắt hoặc vùng sinh dục. Bệnh không gây đau hay ngứa, nhưng ảnh hưởng lớn đến tâm lý và thẩm mỹ.
Nhiều nghiên cứu cho thấy người bị bạch biến có nguy cơ mắc bệnh tuyến giáp hoặc tiểu đường type 1 cao hơn.
Bạch biến có thể được cải thiện bằng liệu pháp ánh sáng (UVB, PUVA) hoặc thuốc bôi ức chế miễn dịch. Việc phát hiện sớm sẽ giúp kiểm soát và phục hồi sắc tố hiệu quả hơn.
2. Lang ben:
Lang ben là nhiễm nấm da thường gặp, gây các mảng da màu nâu, hồng, hoặc trắng, thường thấy ở ngực, lưng, cổ.
Bề mặt da tróc vảy mịn, hơi ngứa, đặc biệt khi ra mồ hôi. Lang ben có thể điều trị dứt điểm bằng thuốc chống nấm dạng bôi hoặc uống..
Triệu chứng: ngứa nhẹ, tróc vảy mịn, đặc biệt khi ra mồ hôi hoặc thời tiết nóng ẩm.
Lang ben có thể điều trị dứt điểm bằng thuốc chống nấm dạng bôi (Ketoconazole, Selenium sulfide) hoặc uống theo chỉ định bác sĩ.
Để phòng ngừa tái phát, nên giữ da khô thoáng, tắm sạch mồ hôi, tránh dùng chung khăn hoặc quần áo.

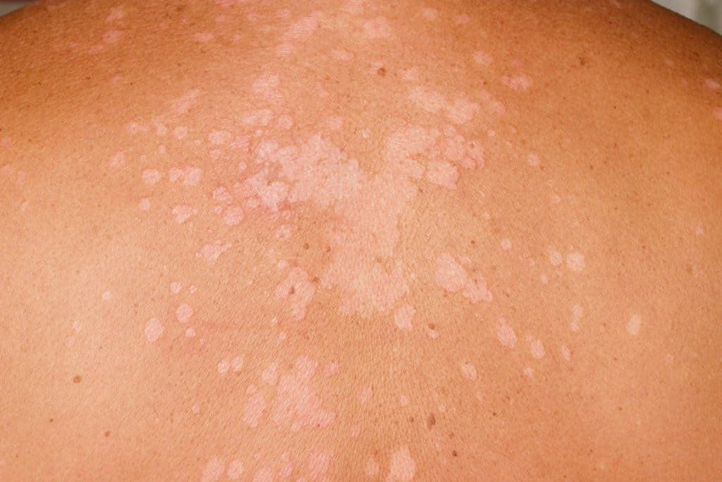
3. Vảy phấn trắng:
Vảy phấn trắng là bệnh da lành tính, thường gặp ở trẻ em và thanh thiếu niên, đặc trưng bởi các đốm trắng nhạt, hơi bong vảy mịn như phấn – đặc biệt ở hai má và thân trên.
Nguyên nhân chủ yếu liên quan đến viêm da cơ địa, da khô hoặc dị ứng, không lây và tự hồi phục trong vài tháng.
Bác sĩ khuyến cáo nên dưỡng ẩm hằng ngày và dùng kem chống nắng nhẹ để giúp da tái tạo nhanh hơn.

4. Đốm trắng lão hóa:
Đây là tình trạng cực kỳ phổ biến ở người Việt Nam nhưng thường bị nhầm lẫn với Bạch biến.
- Dấu hiệu nhận biết: Các chấm trắng nhỏ li ti, kích thước đều nhau (khoảng 2-5mm) giống như hạt gạo hoặc giọt nước rải rác trên da. Bề mặt đốm thường phẳng hoặc lõm nhẹ, sờ vào thấy hơi thô ráp.
- Vị trí xuất hiện: Chủ yếu ở những vùng da phơi nắng nhiều như cẳng tay, cẳng chân, mặt trước đùi và cổ. Thường gặp ở người trên 40 tuổi (hoặc sớm hơn nếu thường xuyên đi nắng không che chắn).
- Nguyên nhân: Do quá trình lão hóa da tự nhiên kết hợp với tổn thương tích lũy từ tia UV trong ánh nắng mặt trời, khiến tế bào sắc tố tại đó ngừng hoạt động.
5. Mất sắc tố sau viêm/ tổn thương da/ điều trị thẩm mỹ
Mất sắc tố sau viêm hoặc điều trị thẩm mỹ là tình trạng da sáng hơn xung quanh vùng tổn thương sau khi lành vết thương, mụn, hoặc sau các thủ thuật như laser, triệt lông, lột da hóa chất.
Nguyên nhân: do melanocyte bị tổn thương tạm thời bởi nhiệt hoặc hóa chất.
Da thường tự hồi phục sau vài tuần đến vài tháng nếu được bảo vệ và dưỡng ẩm đúng cách.
Lưu ý:
- Nếu mất sắc tố kéo dài >3 tháng, cần gặp bác sĩ để đánh giá.
- Không lột, cọ sát hoặc điều trị trùng lặp bằng laser.
- Luôn dùng kem chống nắng và dưỡng ẩm phục hồi (ceramide, panthenol).
Ngoài ra, một số phương pháp điều trị da cũng có thể gây giảm sắc tố, bao gồm:
Có rất nhiều nguyên nhân dẫn đến tình trạng nổi đốm trắng trên da. Dưới đây là những nguyên nhân thường gặp nhất được ghi nhận trong da liễu:
- Laser: tia laser được dùng để loại bỏ các bất thường trên da. Tái tạo bề mặt da bằng laser kích thích sự phát triển của các sợi collagen mới, mang lại làn da mới mịn màng hơn, tuy nhiên mất sắc tố cũng có thể xảy ra ở các khu vực điều trị. Ngoài ra, khi dùng laser điều trị sắc tố, nếu điều chỉnh thông số và năng lượng không phù hợp cũng có thể gây mất sắc tố vùng điều trị.
- Triệt lông: sử dụng nhiệt từ tia laser để phá hủy các nang lông. Nhiệt độ quá cao có thể làm tổn thương vùng da xung quanh của bạn và gây giảm sắc tố.
Lột da bằng hóa chất: Lột da bằng hóa chất cải thiện những bất thường trên da của bạn, làm cho các lớp trên cùng của da bong ra, dẫn đến làn da mịn màng và tươi sáng hơn. Nếu bạn có làn da màu, bạn có nhiều nguy cơ bị giảm sắc tố sau khi lột sâu (giảm sắc tố sau viêm).
6. Bệnh bạch tạng:
Bạch tạng (Albinism) là một rối loạn di truyền bẩm sinh khiến cơ thể không thể sản xuất đủ melanin – sắc tố quyết định màu da, tóc và mắt. Người bị bạch tạng có làn da, mái tóc và đôi mắt sáng bất thường, đồng thời dễ bị tổn thương bởi ánh nắng mặt trời.
Bệnh này không lây, nhưng cần chống nắng tuyệt đối và khám định kỳ da liễu để phòng ngừa ung thư da.
Nếu bạn hoặc người thân có dấu hiệu giảm sắc tố toàn thân, hãy đến cơ sở da liễu để được kiểm tra gen và đánh giá nguy cơ sớm.

Chẩn đoán:
Bác sĩ da liễu sẽ:
- Quan sát vị trí, hình dạng, màu sắc và ranh giới đốm trắng
- Hỏi tiền sử bệnh da liễu, bệnh tự miễn hoặc tiếp xúc hóa chất
- Có thể soi da bằng đèn Wood để phát hiện nấm hoặc rối loạn sắc tố
- Thực hiện xét nghiệm nếu nghi ngờ bệnh tự miễn hoặc di truyền
Chẩn đoán chính xác nguyên nhân là bước quan trọng để lựa chọn phương pháp điều trị phù hợp.
Điều trị:
Tùy theo nguyên nhân, bác sĩ sẽ chỉ định các phương pháp điều trị khác nhau:
1. Tự hồi phục:
Nếu bạn bị do chấn thương da hoặc do điều trị da, bạn có thể sẽ không cần điều trị. Các tế bào da của bạn sẽ bắt đầu sản sinh hắc tố trở lại khi vùng tổn thương hồi phục. Tình trạng giảm sắc tố thường sẽ hết sau vài tuần hoặc vài tháng. Nếu bạn bị vảy phấn trắng, vảy nến hoặc chàm, tình trạng giảm sắc tố thường tự khỏi mà không cần điều trị. Nó có thể mất vài tháng. Nếu giảm sắc tố là một triệu chứng của tình trạng da, một số loại thuốc có thể điều trị tùy vào nguyên nhân gây ra.
2. Liệu pháp ánh sáng (Phototherapy)
Quang trị liệu có hiệu quả nếu bạn bị đốm trắng do điều trị bằng laser (giảm sắc tố do laser) như tẩy lông bằng laser, xóa hình xăm bằng laser hoặc tái tạo bề mặt da bằng laser. Có thể sử dụng một loại thuốc gọi là psoralen kết hợp với tia cực tím A (PUVA) hoặc tia cực tím B (UVB). Các nghiên cứu cho thấy liệu pháp chiếu ánh sáng giúp điều trị chứng giảm sắc tố da do tia laser gây ra. Hiện chưa có phương pháp điều trị hiệu quả nào đối với bệnh bạch tạng hoặc sẹo bị giảm sắc tố.
3. Dùng thuốc bôi hoặc thuốc uống
- Thuốc corticoid, tacrolimus, hoặc pimecrolimus giúp giảm viêm và kích thích sản xuất melanin.
- Thuốc chống nấm dùng cho lang ben hoặc nhiễm nấm da.
- Thuốc kháng oxy hóa, vitamin E, C, B12 hỗ trợ phục hồi tế bào hắc tố.
Kết luận:
Đốm trắng trên da do nhiều nguyên nhân gây ra. Do đó, khi thấy xuất hiện những đốm trắng các bạn cần đến gặp bác sĩ Da liễu để được chẩn đoán chính xác nguyên nhân và điều trị kịp thời, nhanh chóng lấy lại màu sắc vốn có của làn da.
Nếu bạn đang gặp phải các vấn đề về sắc tố da nói chung hoặc mất sắc tố da, trắng da do nguyên nhân bất kỳ nói riêng, hãy liên hệ Đơn vị nghiên cứu và điều trị bạch biến của Medcare qua Hotline: 0931 888 115 hoặc bấm tại đây để được thăm khám và tư vấn phương pháp điều trị phù hợp và hiệu quả nhất nhé.
Câu hỏi thường gặp
– Bạch biến: mảng trắng, giới hạn rõ, thường xuất hiện tại vùng mặt, quanh mắt, mũi, miệng, bàn tay, bàn chân… diễn tiến thường nhanh, có thể kèm tóc trắng, lông trắng, tại vùng da bạch biến.
– Lang ben: mảng trắng nhạt hoặc nâu, có vảy mịn, thường kèm ngứa nhẹ, dễ thấy ở lưng/ngực, soi đèn Wood phát huỳnh quang vàng/xanh.
Một số đốm trắng như: lang ben, vảy phấn trắng, lác đồng tiền cũ, vết chàm nhẹ… có thể tự mờ dần. Tuy nhiên, nếu đốm trắng lan rộng, nhanh, hoặc nghi ngờ bạch biến → nên đưa trẻ đi khám sớm để chẩn đoán chính xác.
Không nên tự ý sử dụng khi chưa có chỉ định và sự theo dõi bởi bác sĩ da liễu. Bởi vì, thuốc bôi corticoid/ức chế miễn dịch hay liệu pháp ánh sáng: chiếu đèn tại nhà, khi tự điều trị không đúng cách có thể gây ra tình trạng teo da, bỏng da hoặc nặng hơn có thể gây ra hiện tượng koebner kiến bệnh bạch biến lan rộng hơn.
Bạn nên đến cơ sở y tế chuyên khoa da liễu để chẩn đoán và điều trị bệnh sớm nhất khi xuất hiện các dấu hiệu sau:
– Vết trắng lan nhanh, đối xứng hai bên.
– Lông trắng, tóc trắng tại vị trí đốm trắng
– Có kèm rụng tóc, thay đổi móng.
– Ảnh hưởng đến ngoại hình, thẩm mỹ
Đây là những dấu hiệu gợi ý bệnh bạch biến hoặc các bệnh lý da mạn tính, cần được chẩn đoán sớm.
Các vết trắng xuất hiện sau mụn, viêm, thủ thuật phần lớn là tình trạng giảm sắc tố sau viêm (PIH hypopigmentation), thường có khả năng tự hồi phục nhờ quá trình tái tạo melanin. Thời gian phục hồi sắc tố từ vài tháng đến một năm hoặc lâu hơn. Đối với những tổn thương sâu có thể gây mất sắc tố vĩnh viễn.
Không. Có nhiều nguyên nhân khác nhau biểu hiện là các đốm trắng trên da mà không phải do bệnh bạch biến gây ra như: lang ben, chàm sữa, giảm sắc tố sau viêm, sẹo, thiếu dinh dưỡng… Bạch biến chỉ là một trong nhiều nguyên nhân, bạn cần thăm khám với bác sĩ da liễu để chẩn đoán chính xác.

- BS.CKI Nguyễn Xuân Quang Huy được Sở Y Tế TP. HCM cấp phép hành nghề khám chữa bệnh Chuyên khoa Da liễu số : 042624/HCM-CCHN. Với kinh nghiệm lâm sàng phong phú và tư duy thẩm mỹ hiện đại.
- Trong hơn 5 năm giữ vai trò Giám đốc Điều hành Phòng khám Chuyên khoa Da liễu Medcare, BS Quang Huy đã góp phần quan trọng trong việc xây dựng mô hình điều trị chuẩn hóa, ứng dụng công nghệ cao và phát triển hệ sinh thái y khoa bền vững của Medcare.
- Không chỉ là bác sĩ điều trị, BS Quang Huy còn là gương mặt chuyên môn được các tập đoàn y khoa quốc tế lựa chọn làm Đại sứ thương hiệu, đồng thời là báo cáo viên thường xuyên tại nhiều hội nghị khoa học uy tín trong nước và quốc tế. Hiện BS. Quang Huy tiếp tục nâng cao trình độ chuyên môn với chương trình Bác sĩ Chuyên khoa II – Da liễu tại Đại học Y Dược TP.HCM (2025–2027).